图片新闻
勇闯“手术禁区”
——我院神经外科应用机器人辅助手术成功救治脑干出血患者

近日,我院神经外科在机器人辅助下进行立体定向脑内血肿穿刺引流术,成功救治一名危重脑干出血患者,术后患者病情明显好转,重获生机。
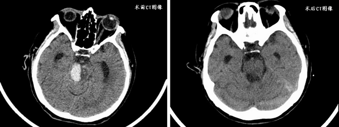
患者刘女士因突发意识障碍于我院神经外科急诊就诊,进行了头颅CT检查提示脑干出血,出血量约为15ml。

刘女士病情进展迅速,呈深度昏迷状态,双侧瞳孔直径为5mm,光反射消失,由于脑干出血量大,严重压迫呼吸中枢,她可能随时出现呼吸循环衰竭,生命垂危。神经外科团队为患者开通绿色通道进行紧急抢救,收入神经外科重症监护室继续治疗。
脑干是神经反射与传导的重要枢纽,也与人的意识、呼吸、心跳密切相关,所以该区域以往被认为是手术禁区。然而随着显微外科技术的进步,禁区逐渐被突破,已有一些脑干病变患者可以接受手术治疗,并且在术后获得良好的生活质量。但是脑干区域的手术难度和风险仍然极大,尤其脑干出血是神经系统危急重症,出血量越大死亡率越高,因此如何快速为患者制定恰当救治方案是治疗的关键。神经外科团队针对此患者病情展开讨论,讨论后认为应对患者的脑干血肿进行穿刺引流。为了精准穿刺血肿,达到最佳的引流效果,神外团队在机器人辅助下制定穿刺靶点、合理规划手术路径,同时在医学影像科、麻醉科和手术室的协作下顺利完成了血肿穿刺。术后刘女士复查头部CT提示脑干内血肿引流效果满意,意识状态明显好转,并可以完成指令性动作,现在她正在接受康复治疗。

我院神经外科是北京城市副中心首家应用立体定向技术开展脑干出血手术治疗的科室,此次手术的成功完成标志着我院神经外科在脑出血方面的治疗水平实现了又一次飞跃,切实解决了脑干出血治疗困难的难题,让更多脑出血患者能够通过微创治疗快速康复、重获健康。

























