健康知识
正畸宣传
什么是错合畸形
错合畸形是生长发育过程中,由于先天遗传因素或者后天的环境因素造成的牙齿、颌骨、颅面的畸形。它不但影响面貌的美观,而且使咀嚼和发音等功能欠佳,影响患者身心健康。
错合畸形也可以称为是一种现代病,在远古时代,人们的错合畸形的发病率要明显的低于现代人,畸形程度也小。主要是由于人类种族的进化和咀嚼食物的精细化导致的。
随着人们生活水平的提高和对生活质量要求的日益增高,错合畸形会越来越成为人们来口腔科就诊的一大类疾病。
错合畸形包括颌骨的大小、位置、形态异常,牙齿位置错乱、排列不齐,上下牙弓、上下颌骨、颌骨与颅面之间的不协调。
错合畸形的种类
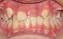
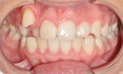
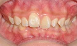
开合 反合(地包天)

闭锁合 上颌前突

牙齿拥挤 牙齿缺失
正畸治疗常识
适宜时机:骨骼畸形:在生长发育期开始,一般8-10
牙性畸形:矫治最佳年龄女孩大约11-13岁,男孩大约12-15岁。
成人:在牙周健康或经过牙周治疗症状得到控制后可以开始正畸治疗。
复诊时间:活动矫治器一般二周到三周复诊一次
固定矫治器一般四周到六周复诊一次
禁忌症: 类风湿病患者,严重的精神病患者或者因各种原因要接受放射治疗的患者以及各种拔牙禁忌症患者不适合进行牙齿矫正。
成人矫正
能否进行正畸治疗不是取决于年龄,而是取决于患者的牙周情况。只要牙周情况允许,就可以进行正畸治疗。
为什么正畸需要拔牙
人类进化过程中,随着食物的精细化和生活环境的改善,颌骨日益发生退化,因而颌骨容纳不下所有的牙齿,出现牙齿拥挤畸形。
当牙齿存在严重拥挤错位时,选择拔牙矫治会缩短矫治时间,并使矫治效果稳定,并且通过拔牙获得间隙,使前牙内收,从而改善前突面型。
正畸拔牙的主要目的是解除拥挤,排齐牙齿,从而获得稳定、平衡和美观的效果。
矫治后的保持
保持是正畸治疗的一部分,正确佩戴保持器在整个正畸治疗过程中意义重大,若不按要求戴用保持器,就有可能复发。
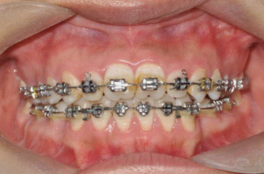
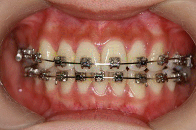
目前常用的各种矫治器
普通金属矫正器

自锁矫正器

无托槽隐形矫正器

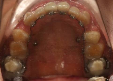
舌侧矫正器




























