健康知识
口腔修复门诊:
1. 缺失牙齿的种植修复。种植修复是目前牙齿缺失的主流修复方法,在缺牙部位植入种植体,上部装上牙冠,使用效率高,无异物感,患者一致认为与真牙无异。种植需要经过医生详细诊断并治疗计划。


2. 各类牙冠及固定桥修复。对于经过根管治疗的牙齿以及伴有严重缺损的牙齿,进行牙冠的修复,牙冠种类多样,各有优缺点,需要和大夫协商后制定专业计划。



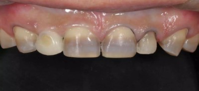
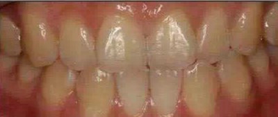
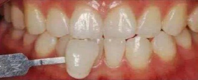
3. 美学贴面修复 对于给种变色牙齿及缝隙牙齿,需要解决美观问题,一般制作贴面修复,磨损牙齿少,美观效果佳,年轻女性展现完美笑容的首选,更需要专业的修复医师操作。




4.各类活动义齿修复。对于缺失牙齿较多的患者,可以制作各类活动义齿,解决患者咀嚼功能,价格低廉,但同时异物感较强。


5.各类美白牙齿。牙齿美白包括夜间美白,诊室冷光美白,内漂白,树脂贴面,瓷贴面等技术。



6.其他修复。例如上颌骨缺损等的赝附体修复,夜磨牙的合垫制作,运动防护牙垫的制作等等。请咨询专业修复大夫,勿道听途说。





























